Ancrages osseux,
de la théorie à la pratique
FORMATION
Formation théorique et pratique
Partage de tips & tricks
LIEU DE FORMATION
Cabinet du Dr Strippoli (5ème étage)
169 Av. Charles de Gaulle, 69160
Tassin-la-Demi-Lune
DURÉE DE FORMATION
1 jour en présentiel – 9H00 - 17h30
NOMBRE DE PLACES
Limité à 12 participants
FORMATION
Appréhender l’intérêt des ancrages osseux et leurs indications
Choisir son ancrage en fonction des contraintes anatomiques et des mouvements souhaités
Maîtriser les tips & tricks les plus utiles au quotidien
INTRODUCTION
Les limites de l’orthodontie ont évolué sous l’impulsion des patients et des protocoles pluridisciplinaires, repoussant parfois les extractions, les cas chirurgicaux ou les compromis implantaires et esthétiques.
Dans cette dynamique, les ancrages osseux présentent de nombreux avantages, mais leur mise en place au cabinet s’avère parfois compliquée par les limites que nous nous imposons souvent à tort.
La formation a pour but de donner des clefs pour bien maîtriser les ancrages squelettiques afin qu’ils fassent partie intégrante de votre boîte à outil quotidienne.
Approche théorique
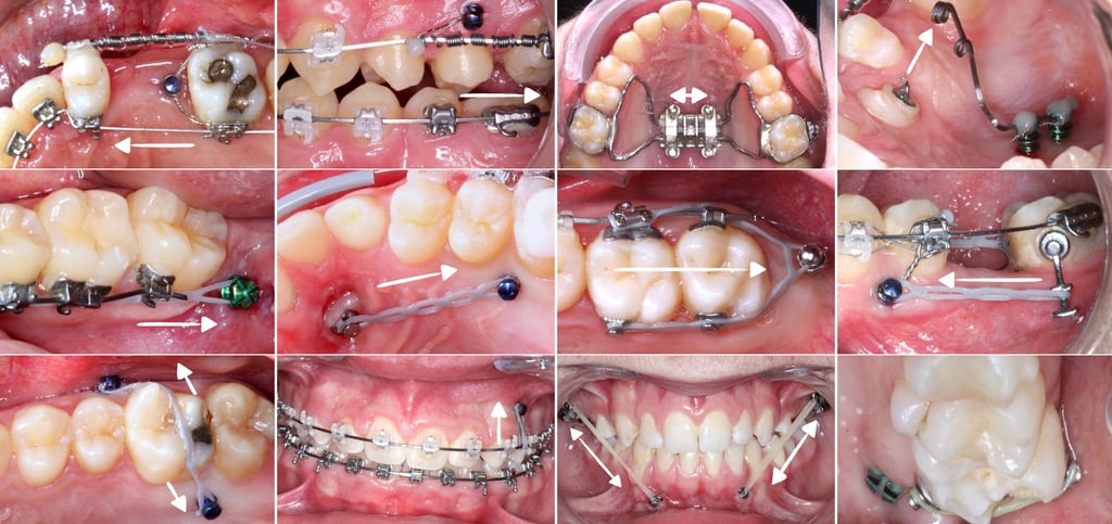
Au cours de la journée nous aborderons les techniques suivantes à travers une cinquantaine de cas cliniques :
Minivis inter-radiculaires, retro-molaires, rétro-tubérositaires et les Infra Zygomatique Screw
MARPE
Plaques osseuses type Bollards®
Pour chacune d’entre elle, nous discuterons :
Des Intérêts, des limites et des contraintes anatomiques
Du choix, de la mise en place et de la gestion des complications potentielles
Nous verrons comment les ancrages nous permettent :
De repousser les limites de l’orthodontie pour éviter les chirurgies orthognathiques ou à l’inverse comment ils nous aident dans les préparations.
De limiter les implants ou de faciliter les restaurations prothétiques ou implantaires
De réaliser des tractions dentaires en limitant les effets secondaires.
Approche pratique (2h)
Travaux pratiques sur modèles pédagogiques
Tips and tricks des mécaniques les plus utiles
PUBLIC CONCERNÉ ET PRÉREQUIS
Chirurgiens oraux
Omnipraticiens
Orthodontistes
OBJECTIFS DE LA FORMATION


